На 15 февраля 2022 г. во всем мире было зареги-стрировано более 413 млн случаев заражения новой коронавирусной инфекцией (COVID-19); вирус распространился в 216 странах и привел к 5,82 млн смертей [1]. Этот показатель растет ежедневно и, как сообщает Всемирная организация здравоохранения (ВОЗ), мировой уровень смертности оценивается в 2% [2]. Пандемия SARS-CoV-2 оказала глобальное воздействие и затронула все области медицины [2, 3]. Особое место занимает изучение влияния вируса на беременных женщин. На основании опыта прошлых лет ожидалось, что беременные, как уязвимая группа населения, будут подвержены высокому риску тяжелого течения заболевания и акушерских осложнений [4-7]. Однако данные научной литературы о клиническом течении, влиянии коронавирусной инфекции на беременных женщин и исходах заболевания противоречивы [8, 9]. Изучение морфологии плаценты при инфекционных заболеваниях помогает исследователям и врачам понять больше о болезни и ее влиянии на материнские и неонатальные исходы [10]. На сегодняшний день риск инфекционного поражения плацентарной ткани встречается с частотой, оцениваемой в 21% [11, 12]. Описание каждого наблюдения имеет важное значение для накопления опыта и разработки дальнейших алгоритмов ведения пациентов. Национальный медицинский исследовательский центр им. В.А. Алмазова не является профильным учреждением по оказанию помощи беременным женщинам с новой коронавирусной инфекцией, однако растет число беременных реконвалесцентов после COVID-19, которым оказана медицинская помощь в условиях Перинатального центра. Выделение данных кли-нических случаев связано с течением заболевания в I и II триместрах беременности, легкой формой заболевания, общностью патоморфологических изменений плаценты и отсутствием других причин развития фето-материнской мальперфузии.
Целью настоящей работы является анализ трех клинических случаев течения и исходов беременности у пациенток после перенесенной новой коро-навирусной инфекции на ранних сроках гестации, сопровождавшихся патоморфологическими изме-нениями, которые явились причиной неблагоприятных перинатальных исходов.
Клиническое наблюдение № 1
Пациентка Я., первобеременная, первородящая, 30 лет, наблюдалась в Перинатальном центре НМИЦ им. В.А. Алмазова в связи с синдромом задержки развития плода, диагностированным с 33 недель гестации. Из анамнеза известно, что при сроке 8/9 недель беременности перенесла новую коронавирусную инфекцию в легкой форме с однократным подъемом температуры тела до 37,5- 37,7°С, аносмией. Беременность протекала без гипертензивных и каких-либо других осложнений, общая прибавка массы тела в пределах нормальных значений. По данным ультразвукового и биохимического скринингов I и II триместров, аномалий развития плода, признаков осложненного течения беременности, а также высокого риска развития преэклампсии не выявлено. При ультразвуковом исследовании (УЗИ), выполненном в 33/34 недели гестации, выявлен врожденный порок сердца (ВПС) - дефект межжелудочковой перегородки в мышечной части 3 мм, симметричная форма задер-жки роста плода 3 степени, умеренное маловодие (амниотический индекс 85 мм). Пациентке реко-мендовано амбулаторное наблюдение, инициирована антикоагулянтная профилактика в соответствии с массой тела пациентки (эноксапарин натрия 40 мг/сутки), антиоксидантная терапия.
Впоследствии, учитывая прогрессирующую задер-жку развития плода, нарастающее маловодие, паци-ентка родоразрешена путем операции кесарева сече-ния в плановом порядке при сроке гестации 38 2/7 недель. Родилась живая, доношенная девочка массой 2110 г, рост 46 см. Оценка по шкале Апгар на 1-й и 5-й минуте — 7/8 баллов. При осмотре последа плацента имела округлую форму с выраженным кальцинозом.
После рождения ребенок наблюдался на посту интенсивной терапии отделения физиологии ново-рожденных Перинатального центра. Результаты эхокардиографического исследования подтвердили наличие мышечного дефекта межжелудочковой перегородки, физиологической узости перешейка на фоне персистирующих фетальных коммуникаций. Данный порок не требовал экстренного кар-диохирургического вмешательства, в связи с чем рекомендовано динамическое наблюдение детского кардиолога. За период наблюдения в стационаре состояние ребенка оставалось стабильным, эпизодов десатурации и апноэ не отмечалось, прибавка веса достаточная, в связи с чем в удовлетворительном состоянии девочка выписана на 5-е сутки жизни.
Патоморфологическое исследование показало следующие результаты.
Макроскопическое исследование: Плацента окру-глой формы, размеры 16,0x15,0x2,5 см, пуповина 8x1,0 см, прикрепление парацентральное, на разрезе 3 кровеносных сосуда. Дольчатость материнской поверхности крупная с кальцификатами (+). Поверхность разреза губчатая, темно-красного цвета. Оболочки розовые, тонкие, блестящие.
Микроскопическое описание: стенка пуповины отечна, в просветах сосудов стаз крови. Ворсинчатый хорион адекватно дифференцирован на срок гестации, количество синцитиока- пиллярных мембран достаточное, количество синцитиальных узлов достаточное, васкуляризация достаточная. Избыточное отложение фибриноида в межворсинчатом пространстве. Сосуды ворсин остро полнокровны. В парабазальной зоне комплекс ворсин с компактной гиперклеточной стромой (лимфо-гистиоцитарная инфильтрация), между ними фибрин и клетки хронического воспаления. Хориальная пластинка обычного строения, фибриноид в избыточном количестве. Базальная пластинка обычного строения, с рассеянной лимфоцитарной инфильтрацией. Внеплацентарные оболочки состоят из амниотического эпителия, соединительнотканной основы, компактного слоя, фибриноид в обычном количестве, рассеянная лимфоцитарная инфильтрация.
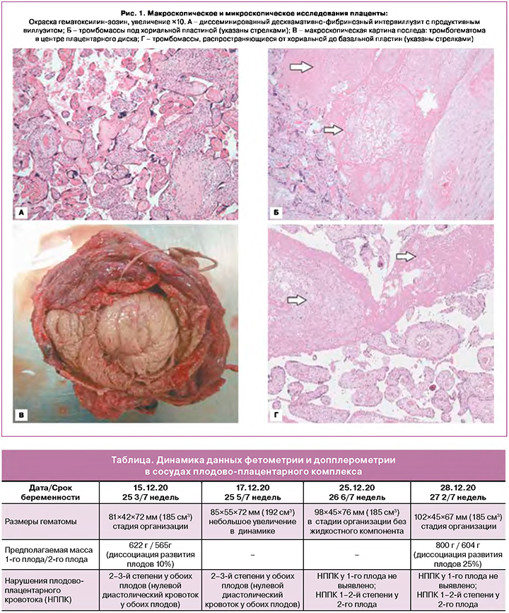
Заключение: Плацента соответствует сроку гестации. Продуктивный хориодецидуит, базальный децидуит, крупноочаговый парабазальный виллу- зит/интервиллузит (рис. 1А). Субкомпенсированная недостаточность плаценты с острой декомпенсацией.

Клиническое наблюдение № 2
Во втором клиническом наблюдении обращают на себя внимание признаки страдания плодов с ранних сроков беременности. Повторнобеременная, повторнородящая Т., 33 лет, госпитализирована в связи с нарушением плодово-плацентарного кровотока 3-й степени обоих плодов из монохориальной диамниотической двойни. Известно, что на сроке 19/20 недель была инфицирована новой коронавирусной инфекцией, подтвержденной методом полимеразной цепной реакции. Заболевание протекало в легкой форме и клинически проявлялось кратковременной субфебрильной лихорадкой, аносмией и сухим кашлем.
При сборе анамнеза данных о тяжелой соматиче-ской и гинекологической патологии не получено. В 25 недель гестации диагностирована преэклампсия умеренной степени, выявлена субамниотическая гематома больших размеров.
При поступлении в стационар по данным УЗИ в полости матки два живых плода, предполагаемая масса 1-го — 622 г, 2-го — 565 г (соответствует 23/24 неделям гестации). Околоплодные воды в нормальном количестве. Расположение плаценты по передней стенке с переходом на дно матки, вдоль плодовой поверхности плаценты определяется гипоэхогенное гетерогенной эхоструктуры аваску- лярное образование 81x42x72 мм, объем ~185 см3. Нарушение плодово-плацентарного кровотока (НППК) 3-й степени у обоих плодов (нулевой диастолический кровоток у обоих плодов). Пациентка отказалась от предложенного экстренного родо- разрешения. Начата комплексная терапия преэклампсии — антигипертензивная, магнезиальная, антианемическая терапия, на 7-е сутки пребывания в стационаре инициирована антикоагулянтная профилактика низкомолекулярными гепаринами. На фоне проводимой терапии отмечена положительная динамика в виде стабилизации состояния беременной по данным клинических и лабораторных проявлений преэклампсии (рис. 2).

Особого внимания заслуживает динамика данных ультразвуковой оценки состояния плодов и размера гематомы. При поступлении визуализировалась субамниотическая гематома, которая через 2 суток при контрольном исследовании обрела четкую структуру в связи с организацией и резорбцией содержимого, что сопровождалось небольшим увеличением ее размеров и объема. Результаты допплерометрической оценки кровотока в системе фетоплацентарного комплекса имели прямую связь с динамикой изменений эхографической картины гематомы: по мере организации и резорбции отмечено улучшение кровотока в системе «мать-плацен- та-плод». Результаты УЗИ представлены в таблице.
В дальнейшем с целью точного определения размеров гематомы выполнена магнитно-резонансная томография: плодовая поверхность плаценты неровная, контур крупнобугристый, из-за наличия обширной подострой гематомы, занимающей около 2/3 ее общей поверхности. Структура плаценты неоднородная с множественным неравномерным отложением фибриноида в котиледонах (рис. 3).
Однако через 16 дней от момента госпитализации пациентка родоразрешена путем операции кесарева сечения в экстренном порядке в связи с преждевременным излитием околоплодных вод. Родились два живых мальчика массой 640 и 705 г, оценка по шкале Апгар составила 3/5 и 4/7 баллов соответственно. В связи с экстремально низкой массой тела при рождении и глубокой недоношенностью новорожденные переведены в отделение анестезиологии, реанимации и интенсивной терапии в тяжелом состоянии. Послеродовый период протекал без особенностей, пациентка выписана на 7-е сутки.
Результаты гистологического исследования последа. Макроскопическое исследование — послед от монохориальной диамниотической двойни массой 335,0 г овальной формы размером 20х 17x2,5-4 см. Пуповина 1-го плода — 8,0х0,8, прикрепление парацентральное, гиперизвитая, 3 сосуда на разрезе; пуповина 2-го плода - 9,0 х0,8, прикрепление краевое, гиперизвитая, 3 сосуда на разрезе. Плодные оболочки тонкие тусклые сероватые.
Материнская поверхность — дольчатость нерав-номерная, поверхность серовато-красная матовая. Плодная поверхность бугристая, амнион гладкий. На разрезе парацентрально субхориально определяется мягкоэластичный очаг 6х6х3—4 см, не имеющий четких границ, занимающий около 25% объема плаценты. На разрезе очаг неоднородного строения серовато-красного цвета. Сохранившаяся по периферии ткань плаценты темно-красная губчатая.
Микроскопическое исследование: Плацента 1 — дисморфизм и терминальная гипоплазия ворсинчатого хориона. В измененных отделах — тромб, располагающийся под хориальной пластиной (рис. 1Б). В нем среди сетчатого фибрина, лизированных и свежих эритроцитов встречаются единичные тени ворсин, комплексы цитотрофобласта. Перифокально — ворсины с компактной стромой и редукцией сосудистого русла, избытком синцитиальных узлов, избыточное отложение фибриноида в межворсинчатом пространстве, обширные псевдоинфаркты. В стромальной основе хориальной пластины и под ней мелкие цепочки сегментоядерных лейкоцитов, сосуды стволовых ворсин остро полнокровны. В базальной децидуальной пластине рассеянно лимфоциты. Плодные оболочки — выра-женный отек всех слоев, эозинофильный некроз, инфарцирование децидуального слоя с густой лей-коцитарной инфильтрацией. Пуповина — отек вар- тонова студня.
Плацента 2 — дисморфизм и терминальная гипо-плазия ворсинчатого хориона. Избыточное отложение фибриноида в межворсинчатом пространстве, псевдоинфаркты. В субхориальном пространстве — фибрин и кровь. В базальной децидуальной пластине — рассеянно лимфоциты. Плодные оболочки — выраженный отек всех слоев, очаговый эозинофильный некроз, мелкие очажки базофильного некроза с единичными лейкоцитами. Пуповина — отек вартонова студня.
Заключение: Хроническая субкомпенсированная недостаточность плаценты с острой декомпенсацией: крупная прогрессирующая субхориальная гематома/тромб плацентарного диска, нарушение дифференцировки и васкуляризации ворсинчатого хориона. Гнойно-некротический хориодецидуит, субхориальный интервиллузит.
Состояние детей после рождения расценено, как крайне тяжелое, за счет морфофункциональной незрелости, дыхательной недостаточности, гемоди-намических нарушений и неврологической симпто-матики. В родильном зале оказан полный комплекс реанимационных мероприятий с последующим переводом на фоне продолжения искусственной вентиляции легких (ИВЛ) в отделение реанимации для детей.
Новорожденный 1 наблюдался в условиях реани-мации новорожденных в течение 94 суток с при-знаками полиорганной недостаточности. В крайне тяжелом состоянии находился на ИВЛ 9 суток, затем экстубирован и переведен на неинвазивную вентиляцию, кислородная зависимость сохранялась в течение всего периода наблюдения. С рождения по данным клинико-лабораторного обследования диагностирован некротический энтероколит IIa (среднетяжелое течение), течение которого явилось причиной кишечной непроходимости и потребовало хирургического лечения. 10.02.2021 (1 месяц и 11 дней) выполнена лапаротомия, резекция тонкой кишки на расстоянии 60 см, раздельная энте- ростомия. Состояние ребенка оставалось крайне тяжелым с постепенным ухудшением, развитием и прогрессированием полиорганной недостаточности на фоне реализации инфекционного процесса смешанной этиологии. Несмотря на проводимую терапию, ребенок оставался в крайне тяжелом состоянии с прогрессированием до терминального. 05.04.2021 - развитие брадикардии с переходом в асистолию. Начат комплекс реанимационных мероприятий, однако в связи с отсутствием эффекта в течение 30 минут констатирована гибель ребенка.
Новорожденный 2 находился в отделении реа-нимации в течение 4 месяцев. Состояние при рождении очень тяжелое за счет глубокой недоношенности, дыхательной недостаточности, течения инфекционного процесса. По результатам нейро- сонографии на 4-е сутки жизни выявлено внутрижелудочковое кровоизлияние 2-й степени, разрешение которого явилось причиной судорожного синдрома, двигательных нарушений и психомоторной задержки. На 12-е сутки жизни реализовано течение некротического энтероколита На стадии с мекониальной обструкцией, которая потребовала хирургической декомпрессии. 18.02.2021 выполнена поперечная нижняя лапаротомия, резекция участка подвздошной кишки, раздельная илеосто- мия. В возрасте 4 месяцев ребенок переведен в детский лечебно-реабилитационный комплекс НМИЦ им. В.А. Алмазова, имеет статус инвалида и по настоящее время получает медицинскую помощь со следующим диагнозом: Перинатальное поражение центральной нервной системы гипоксически-ише- мического генеза. Судорожный синдром в анамнезе, синдром двигательных нарушений (мышечная гипотония), задержка психомоторного развития. Бронхолегочная дисплазия, тяжелое течение, период хронической болезни. Хроническая дыхательная недостаточность 1-2 ст.
Клиническое наблюдение № 3
В третьем клиническом случае прослеживается параллель с первыми двумя. Пациентка К., 24 лет, перенесла новую коронавирусную инфекцию с легким течением заболевания в 3 недели беременности. В дальнейшем при сроке гестации 16 недель при эхографическом исследовании впервые выявлено увеличение размеров плаценты с неоднородностью структуры, маркеры хромосомных аберраций плода (гиперэхогенный кишечник, единственная артерия пуповины). Пациентке выполнен неинвазивный пренатальный тест, который не показал риска хромосомных аномалий. Размеры плаценты увеличивались со сроком гестации с последующим преобразованием в округлое образование с ячеистой структурой и выраженным кровотоком. Нарушения плацентации явились причиной замедления роста плода и выраженного маловодия. В 24 недели бере-менности с целью дообследования и исключения трофобластической болезни госпитализирована в НМИЦ им. В.А. Алмазова. На основании клинико-лабораторного и функционального обследования, данных за трофобластическую болезнь не получено. По данным УЗИ обращает на себя внимание выраженное замедление роста плода (предполагаемая масса 350 г), маловодие (ангидрамнион 25 мм); плацента утолщена, неоднородной структуры с размерами 116x78x101 мм, у корня пуповины — субамниотическая киста 4x2,5 см, у нижнего края плаценты - заоболочечная гематома размерами 46x13x31 мм, объемом ~ 10 см3, НППК не выявлено.
Выявленные изменения плаценты при динамическом наблюдении не имели дальнейшего развития. На сроке 27 6/7 недель на фоне полного благополучия, нормального артериального давления происходит отслойка нормально расположенной плаценты, в связи с чем, пациентка родоразрешена путем операции кесарева сечения в экстренном порядке. Родился живой, глубоко недоношенный мальчик массой 660 г, с оценкой по шкале Апгар 3/5 баллов. При осмотре последа обращало на себя внимание увеличение плаценты в размерах, на плодовой поверхности определялось округлое образование размерами 7x6 см - тромбогематома? хориоан- гиома? (рис. 1В).
Плацента при патоморфологическом описании округлой формы, размером 15x15x2,5-4 см, массой 265 г. Материнская поверхность - со стертой дольчатостью, серовато-красная, матовая. Плодная поверхность бугристая, амнион гладкий. На разрезе в центре плацентарного диска определяется округлый эластичный очаг 10x10x3-4 см, не имеющий четких границ, занимающий более 50% объема плаценты. На разрезе очаг имеет слоистое строение серо-розового цвета.
Микроскопическое исследование: Ткань плацен-тарного диска в измененных центральных отделах представлена слоистым тромбом, распространяю-щимся от хориальной до базальной пластин; среди сетчатого и глыбчатого фибрина, лизированных и свежих эритроцитов встречаются тени ворсин, сохранившиеся крупные стволовые ворсины и ком-плексы цитотрофобласта. В сохранных участках плацентарного диска наблюдается выраженный дизморфизм ворсин с замедленной дифференцировкой, терминальной гипоплазией, фиброзом стромы ворсин (рис. 1Г). Базальная децидуальная пластина - рассеянно лимфоциты, в краевой зоне и плодных оболочках - эозинофильный некроз децидуального слоя с густой лейкоцитарной инфильтрацией.
Заключение: Хроническая субкомпенсированная недостаточность плаценты с острой декомпенсацией, плацентомегалия (плацентарно-плодовый коэффициент 0,4), преждевременная отслойка нор-мально расположенной плаценты, массивная про-грессирующая центральная гематома/тромб всех слоев плацентарного диска, нарушение дифференцировки и васкуляризации ворсинчатого хориона. Краевой гнойно-некротический децидуит.
При рождении состояние новорожденного очень тяжелое, обусловлено дыхательной, сердечно-сосудис-той недостаточностью, глубокой недоношенностью. С рождения находился на респираторной терапии ИВЛ, получал инотропную поддержку и антибактериальную терапию. На 11-е сутки жизни в связи некротическим энтероколитом IIB ст., клинико-инструментальными признаками кишечной непроходимости, неэффек-тивности консервативной терапии принято решение о хирургическом лечении. Выполнена поперечная лапаротомия, резекция участков тощей и подвздошной кишки, несущих некрозы, двойная раздельная еюностомия, илеостомия. Послеоперационный период протекал без осложнений, однако состояние осталось тяжелым за счет дыхательной недостаточности на фоне тяжелой формы бронхолегочной дисплазии, течения некротического энтероколита и инфекцион-ного процесса. Находился на стационарном лечении в течение 8 месяцев, включая период реабилитации. На сегодняшний день наблюдается амбулаторно с диагнозом: Перинатальная энцефалопатия смешанного генеза. Синдром двигательных нарушений. Бронхолегочная дисплазия, тяжелое течение, период хронической болезни.
Обсуждение
Изучение и анализ влияния коронавируса на беременных женщин имеют большое значение, в связи с чем, все большее число научных работ пытаются пролить свет на механизмы этиопатоге- неза и возможной передачи инфекции от матери к плоду [13-16]. Влияние SARS-CoV-2 на течение и исходы беременности остается спорным. Имеющиеся данные свидетельствует о том, что исходы и клинические проявления заболевания у беременных сравнимы с таковыми у небеременных женщин репродуктивного возраста [17, 18]. Результаты систематического обзора, который включал 107 случаев COVID-19 у беременных женщин, продемонстрировали, что лишь 3% были госпитализированы в отделение интенсивной терапии, случаев материнской смертности не было [19]. В противоположность этому Di Mascio D. et al. опубликовали данные, согласно которым установлен высокий риск выкидыша, преэклампсии, пре-ждевременных родов и перинатальной смертности у пациенток, инфицированных коронавирусами (включая SARS-CoV-1 и MERS) [20, 21]. Однако стоит отметить, что в исследование вошло небольшое число случаев инфицирования SARS-CoV-2.
Вирус SARS-CoV-2 проникает и поражает клетки широкого спектра тканей и органов, что приводит к калейдоскопу клинических проявлений. Инфекция может протекать бессимптомно или иметь тяжелое течение с развитием дыхательной недостаточности, полиорганной дисфункции и быть причиной летального исхода [22, 23]. Чаще всего заболевание проявляется как острый респираторный дистресс- синдром, отражающий преобладающий тропизм вируса к дыхательным путям, однако инфекционный процесс не ограничивается легкими.
Это подтверждается растущим количеством публи-каций о поражении тканей и выявлении вирионов в котиледонах плаценты, а также единичных случаях передачи SARS-CoV-2 от матери к плоду [11]. Гистологические проявления COVID-19 в плаценте по-прежнему являются предметом большого интереса и постоянных исследований. Систематический обзор 57 исследований с участием 1009 пациенток с беременностью, осложненной инфекцией SARS- CoV-2 показал, что поражение плаценты характеризуются развитием синдрома фето-материнской сосудистой мальперфузии, патоморфологическим проявлением которого является отложение перивиллоз- ного фибрина и воспалительные поражения, такие как виллит, интервиллит и хориоамнионит, отек ворсинок и ретроплацентарные гематомы [24-26].
Выявленные в описанных клинических случаях патоморфологические изменения плаценты находят отклик в работе Girolamo R.D. et al. и позволяет судить, что причиной является перенесенная инфекция COVID-19 [25]. Хотя патологические изменения представляются довольно неспецифичными, воспалительный и окислительный стресс, вызванные SARS-CoV-2 привели к аномальному развитию плаценты, тем самым оказав негативное влияние на течение, исходы беременности и развитие плода. Клиническим проявлением стали синдром задержки развития плода, преждевременные роды, дистресс плода, преждевременная отслойка плаценты. Важно отметить, что по полученным данным ни у одного новорожденного не было выявлено инфицирования SARS-CoV-2, что позволяет предположить, что плацента может быть эффективным барьером между матерью и новорожденным против вируса. Наши наблюдения показывают, что тяжелое повреждение плаценты, вызванное вирусом, может оказывать негативное влияние для новорожденного независимо от тяжести течения COVID-19. Учитывая риск неблагоприятных перинатальных исходов, связанный с новой коронавирусной инфекцией, перенесенной на ранних сроках беременности, ключевую роль приобретает специфическая защита путем первичной профилактики - вакцинации, проведение которой в настоящий момент возможно, как на этапе планирования беременности, так и с 22 недель гестации в группе риска тяжелого течения заболевания.
Заключение
Женщины с перенесенной инфекцией SARS-CoV-2 во время беременности, независимо от тяжести течения заболевания, имеют риск развития гистопато-логических изменений плаценты. Основным прояв-лением является синдром фето-материнской маль- перфузии с фиброзом плацентарной ткани, который представляет собой неспецифический защитный механизм в ответ на повреждение, наблюдаемый как при инфекционном процессе, так и при больших акушерских синдромах - преэклампсии, задержке внутриутробного развития плода.



